PlanIQ™

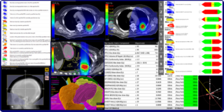
Plan Evaluation, Quality Scoring, Feasibility DVH, and Customized Reports

Canis Lupus LLC is the original inventor and developer of this next generation plan evaluation software merged from the products formerly called “Quality Reports” and “Icarus [RT].” PlanIQ is now owned and distributed by Sun Nuclear Corporation. PlanIQ is custom designed for the scientific and practical complexities of Radiation Therapy. Product development was performed in constant collaboration with some of the nation’s top treatment planners and physicians to ensure that the product: solves real problems, offers unrivaled power and efficiency, and enables giant leaps forward in the quality, consistency, safety, and continual improvement of the modern radiation oncology clinic.

In addition to plan evaluation and documentation, PlanIQ (as of version 2.1) now offers valuable pre-planning tools that enable the planner to detect which objectives will be most challenging or even impossible to achieve per each patient’s unique anatomy combined with the prescription. PlanIQ also offers “Feasibility DVH” spreadsheets and point extraction to guide the planner when entering dose-volume objectives during optimization, thus ensuring that: 1) no impossible goals are requested but also 2) no objectives are “too easy” and thus leave the resulting plan sub-optimal in terms of organ-at-risk sparing. PlanIQ’s feasibility analyses help automate treatment planning and ensure that each optimization takes into account the patient’s specific anatomy challenges. The feasibility analysis tools also allow you to “adjust” your final plan’s score based on per-metric feasibility, i.e. to “grade on a curve” so you’re not punished for any goals that are impossible for any given patient.

PlanIQ works seamlessly with all treatment planning systems (TPS) via a dedicated DICOM server.

Here is a link to the PlanIQ Product Site.

.

Recent Scientific Publications Featuring PlanIQ

Ahmed, S, Liu, C-W, LaHurd, D, et al. Using feasibility dose–volume histograms to reduce intercampus plan quality variability for head-and-neck cancer. J Appl Clin Med Phys. 2022;e13749..

Fried D, Das S, Marks L, and Chera B. Clinical Use of A Priori Knowledge of OAR Sparing During Radiotherapy Treatment for Oropharyngeal Cancer: Dosimetric and Patient Reported Outcome Improvements. Practical Radiation Oncology, May-Jun 2022; 12(3).

Smith A, Granatowicz A, Stoltenberg C, et al. Can the Student Outperform the Master? A Plan Comparison Between Pinnacle Auto-Planning and Eclipse knowledge-Based RapidPlan Following a Prostate-Bed Plan Competition. Technol Cancer Res Treat. 2019 Jan-Dec; 18.

Ahmed S, Nelms BE, Gintz D, Caudell J, Zhang G, Moros E, and Feygelman V. A method for a priori estimation of best feasible DVH for organs-at-risk: Validation for head and neck VMAT planning. Med. Phys. 2017 Oct; 44(10).

Fried D, Chera B, and Das S. Assessment of PlanIQ Feasibility DVH for head and neck treatment planning. J Appl Clin Med Phys. 2017; 18(5).

Gintz D, Latifi K, Caudell J, Nelms B, Zhang G, Moros E, and Feygelman V. Initial evaluation of automated treatment planning software. J Appl Clin Med Phys. 2016; 17(3).

Nelms BE, Robinson G, Markham J, Velasco K, Boyd S, Narayan S, Wheeler J, and Sobczak M. Variation in external beam treatment plan quality: An inter-institutional study of planners and planning systems. Practical Radiation Oncology 2012 Oct; 2(4):296-305.

Back to the Canis Lupus LLC Portfolio